• home >
  • 더바른이교정>
  • 과개교합 교정치료
  • 과개교합 교정치료

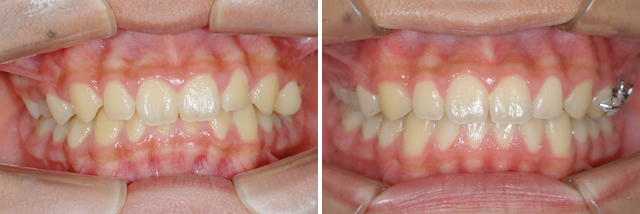
    과개교합은 개방교합과 정반대의 경우로 위 앞니가 아래 앞니를 많이 덮는 부정 교합을 말합니다. 이런 심한경우 아래치아와 윗니뒤 잇몸을 자극해 잇몸질환이 생길수도 있고 치아가 많이 닳거나 턱관절 질환이 생기는 경우도 있기 때문에 교정치료가 필요합니다.


    치료전치료후
    Designed & System by 제로웹  ㆍTotal 63,003