• home >
  • 더바른이교정>
  • 소아 예방교정
  • 소아 예방교정

    소아에서 윗턱과 아랫턱의 성장에 문제가 있어 앞니가 거꾸로 다물리거나 윗니와 아랫니의 차이가 큰 경우 조화로운 성장이 일어날 수 있는 환경을 만듦으로써 심한 주걱턱과 무턱을 예방할 수 있습니다. 또한 치아교환기에 발생하는 치아매복이나 맹출장애를 해결하여 순조로운 영구치열로의 이행을 도와줄 수 있습니다.


    ▣ 주걱턱 예방교정

    치료전치료 2개월 후

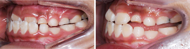
    ▣ 맹출 장애교정

    치료전치료후
    Designed & System by 제로웹  ㆍTotal 63,005