• home >
  • 더바른이교정>
  • 비수술주걱턱/비대칭교정
  • 비수술 주걱턱 / 비대칭 교정

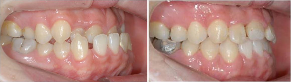
    위턱보다 아래턱이 상대적으로 과정상한 경우 흔히 주걱턱이라고 합니다. 이런경우 기존에는 수술을 동반한 교정치료로 치료하는 경우가 대부분이었으나 더바른이치과만의 치료 노하우로 양악수술없이도 교합의 개선과 턱라인의 개선이 가능합니다.


    ▣ 비수술 주걱턱 교정

    치료전치료후
    Designed & System by 제로웹  ㆍTotal 63,000