• home >
  • 더바른이교정>
  • 개방교합 교정치료
  • 개방교합 교정치료

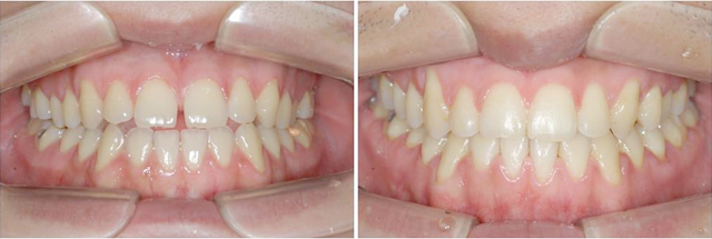
    개방교합이라는 부정교합은 그림과 같이 윗니가 아랫니를 덮지 못하여 앞니가 벌어져 있는 부정교합을 말합니다. 이러한 상태는 앞니로 끊어먹는 것이 힘듦니다. 성장기에 이비인후과적인 문제로 입으로 호흡하여 이런 부정교합이 나타나면 긴얼굴 형태로 자랄수 있기때문에 이비인후과 치료를 동반한 교정치료가 필요합니다.


    치료전치료후
    Designed & System by 제로웹  ㆍTotal 63,002