• home >
  • 더바른이교정>
  • 덧니 교정
  • 덧니 교정

    치아의 총생(삐뚤어짐)은 후속 영구치가 날때까지 유치가 공간을 잘 보존하지 못하거나 턱뼈에 비해 영구치의 크기가 큰 경우 공간부족에 의해서 나타나는 현상입니다.


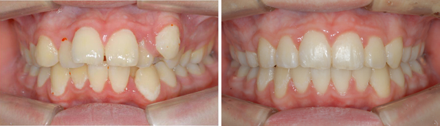
    ▣ 비발치 덧니 교정치료

    치료전치료후

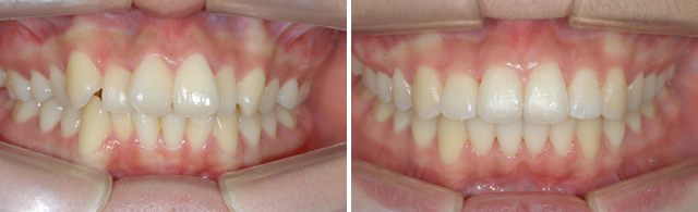
    ▣ 발치 덧니 교정치료

    치료전치료후
    치료전치료후
    Designed & System by 제로웹  ㆍTotal 63,004