-
비수술 돌출입 교정(발치, 비발치)
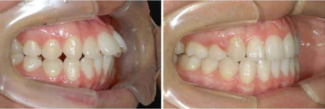
▣ 발치 돌출입 교정치료
입술의 돌출도가 많거나 입술의 돌출과 함께 치아를 배열하기 위한 공간이 부족한 경우 앞니를 후방 이동시키기 위한 공간을 얻기 위해 작은 어금니를 발치하여 치료한 경우입니다.

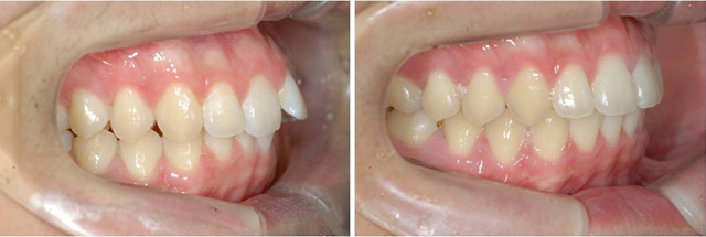
치료전 치료후 ▣ 비발치 돌출입 교정치료
돌출이 심하지 않거나 치아 공간부족이 심하지 않은 경우 미니스크류의 개발로 이를 뽑지 않고도 어느 정도의 돌출 해소가 가능합니다.

치료전 치료후
비수술 돌출입 교정(발치, 비발치)
▣ 발치 돌출입 교정치료
입술의 돌출도가 많거나 입술의 돌출과 함께 치아를 배열하기 위한 공간이 부족한 경우 앞니를 후방 이동시키기 위한 공간을 얻기 위해 작은 어금니를 발치하여 치료한 경우입니다.

| 치료전 | 치료후 |
|---|
▣ 비발치 돌출입 교정치료
돌출이 심하지 않거나 치아 공간부족이 심하지 않은 경우 미니스크류의 개발로 이를 뽑지 않고도 어느 정도의 돌출 해소가 가능합니다.

| 치료전 | 치료후 |
|---|