▶
블로그
▶
더바른이치과
▶
더바른이교정
▶
공지사항
▶
오시는길
▶
치과둘러보기
home >
더바른이교정>
앞니부분교정
앞니부분교정
덧니 교정
소아 예방교정
비수술 돌출입 교정
비수술 주걱턱 비대칭 교정
개방교합 교정
과개교합 교정
투명교정
앞니부분교정
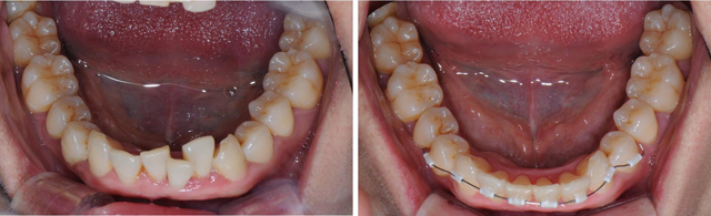
MTA 교정치료(앞니부분교정)
최신 미니튜브장치를 이용하여 짧은 기간 내에 불편감을 최소로하여 심미적인 전치부 배열을 얻는 교정술식입니다.
치료전
치료 3개월후
Designed & System by
제로웹
ㆍTotal
62,996
Your browser does not support the video tag.